【中医院故事】精准医疗,影像先行 —— 超声内镜检查,为消化道健康保驾护航
在消化道疾病的诊断中,看得“深”、看得“清”往往决定着治疗的方向与患者的安危。医院脾胃病科开展的超声内镜检查,正如一双深入病灶内部的“高清透视眼”,为众多患者提供了精确的诊断依据,避免了不必要的治疗或手术。
48岁的张先生在一次胃镜检查中发现胃窦部有一处隆起性病变,性质不明。是常见的异位胰腺(一种无需处理的正常组织变异)?还是需要手术处理的间质瘤?单纯胃镜难以判断。
为此,张先生在医院接受了超声内镜检查。脾胃病科副主任医师景洪海检查发现,该隆起来源于黏膜下层,呈偏低回声,内部结构不均,但周围胃壁层次清晰正常。结合其顶端有凹陷的特征,超声内镜明确提示“异位胰腺考虑”。
这个结论意味着张先生无需任何手术或特殊治疗,只需定期随访观察即可。一次精准的检查,成功化解了患者的焦虑,也避免了过度医疗。
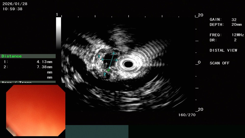
除了上消化道,超声肠镜在下消化道疾病的诊断中同样扮演着不可替代的角色。52岁的王大爷肠镜发现直肠有一可疑病变。经超声确认病灶源于黏膜深层,呈均匀低回声,边界清晰,直肠黏膜下隆起,考虑神经内分泌肿瘤,需要内镜下治疗。
这展现了超声内镜在消化道本身病变(如食管癌、胃癌、结直肠癌)诊断与分期中的强大功能。它是实现肿瘤精准分期、判断是否可行内镜下切除、评估淋巴结转移风险的“金标准”之一,尤其对于早期癌的诊疗策略制定至关重要。
➢ 消化道肿瘤精准分期:用于食管、胃、结直肠癌的术前分期,明确肿瘤浸润深度(T分期),是决定内镜微创治疗或外科手术的根本依据。
➢ 黏膜下肿瘤鉴别诊断:准确判断肿瘤来源层次与性质,区分需手术的间质瘤与可随访的异位胰腺、脂肪瘤等,避免误诊误治。
➢ 疑难疾病评估:辅助诊断胃淋巴瘤,评估其浸润范围和深度;鉴别诊断胃巨大皱襞性疾病,如肥厚性胃炎、淋巴瘤或癌等。
预约方式:门诊三楼脾胃病科门诊医生开单➞门诊三楼内镜中心预约


用户登录
还没有账号?
立即注册