纸盏传谢意,医者暖人心——神经外科收到患者感谢信
10月11日上午,一封饱含深情的感谢信被送至医院办公室,信纸虽轻,情谊却重。
“我是贵院一名患者的家属,今日提笔致信,是想向您郑重表达我们全家的感激之情,由衷感谢贵院培养出神经外科副主任医师单钢明这样医德与医术兼具的好医生,感谢他为我的家人筑起了生命防线。”神经外科患者孙先生的家属在信中用最朴实的语言,表达了对医院以及单钢明的感激之情。
这封信的背后,是一段医患同心、共克病魔的动人佳话。

时间回溯到9月2日,一场突如其来的车祸,让59岁的孙先生遭受重创。他被120急救车紧急送入医院急诊科时,已出现逆行性遗忘,伴有剧烈头痛、头晕、颜面部出血,头面部、双手、双膝等多处剧烈疼痛,并频繁恶心呕吐,情况万分危急。
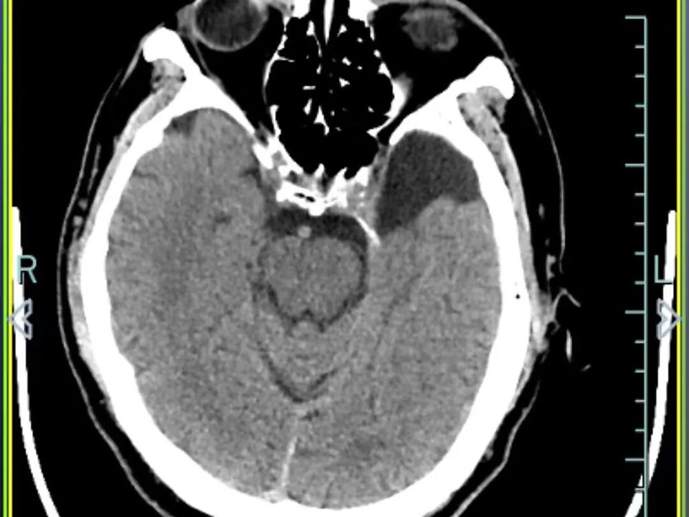
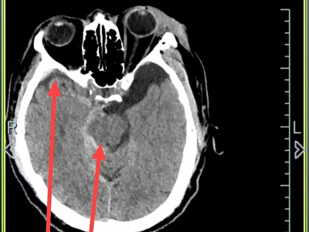
医院快速开通绿色通道并完善一系列检查后,诊断结果令人揪心:孙先生患有重型闭合性颅脑损伤,包括多发性创伤性脑出血、右侧颞部创伤性硬膜下出血、创伤性蛛网膜下腔出血以及脑震荡,同时合并多处骨折及软组织挫裂伤。
硬膜下出血、蛛网膜下腔出血和多发性创伤性脑出血
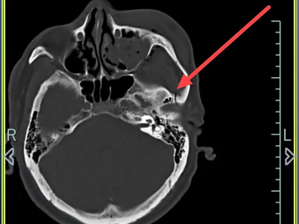
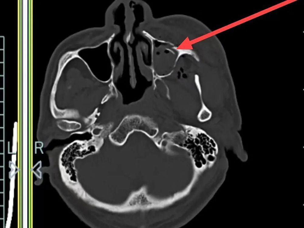
外侧壁、左眼眶外侧壁骨折、左侧颌面部软组织肿胀,软组织内积气
左侧颞骨、左侧颧弓、左侧上颌窦前壁骨折
面对复杂病情,主管医生单钢明凭借其丰富的临床经验,为孙先生制定了个体化、精细化的综合治疗方案。他重视患者全身多发伤的处理,协同相关科室专家,确保骨折及挫裂伤得到妥善治疗,为颅脑损伤的恢复创造了最佳条件。
在护理团队配合下,还开展了系列中医特色治疗:吴茱萸贴敷、艾灸、配合中医定向透药等非药物疗法疏通经络、行气止痛,全方位促进患者康复。
每一次查房,单钢明都细致入微,不放过任何一项体征变化,反复叮嘱护理团队每一个关键细节。
面对家属的惶恐与无助,他用通俗易懂的语言,将复杂的医学术语、缜密的治疗方案、潜在的各类风险以及未来的恢复预期,一一拆解说明。
这种坦诚清晰的沟通,让家属不仅深刻了解到诊疗过程的严谨与周密,更一步步建立了战胜病魔的信心。
△10月4日CT复查显示,孙先生颅内出血全部吸收,骨折位置没有移位
△10月11日上午,孙先生在副主任医师单钢明的指导下做康复动作
△10月11日下午,孙先生在护士指导下做关节松动训练
精诚所至,金石为开。在神经外科团队的全力救治和精心照护下,孙先生的病情一天天好转,生命体征逐渐平稳,意识状态日益清晰,最终成功脱离了危险期,目前正在进一步康复中。这生命的奇迹,背后凝聚的是单钢明精湛的医术,更是他那颗“想患者之所想,急家属之所急”的仁爱之心。
面对这封承载着患者家属深情的感谢信,单钢明动情地说道:“这封感谢信对我而言是肯定,更是激励,我会继续用心守护每一位患者的生命健康。”


用户登录
还没有账号?
立即注册