生死竞速!柯桥区中医医院多学科协作,为坠伤青年架起“生命立交桥”
“那一刻,我真的以为撑不过去了,每一次呼吸都像有刀在胸口绞……是医生护士硬是把我从死神手里拽了回来。”站在病床旁,31岁的王某声音还有些微弱,但目光明亮。5天前,他刚刚经历了一场惊心动魄的胸腔大出血抢救,而此刻,他已能缓缓行走,脸上重现笑容。
肋骨骨折入院
8月19日。王某在工作时不慎从高处跌落,右侧胸壁重重撞击平台,当即感到剧痛难忍、呼吸艰难,由工友紧急送入柯桥区中医医院急诊科。初诊时生命体征尚平稳,CT提示肋骨骨折,未见内脏损伤,遂收住普外科病房行密切观察。
谁知次日凌晨,病情骤然恶化——王某血压持续下降、心率快速上升,出现窒息性胸闷,浑身湿冷,意识渐渐模糊。
经管医师李森虹第一时间发现危急迹象,迅速上报。普外科主任金根标凭借多年的临床经验,立即判断为胸腔内活动性大出血,果断决定:“立即手术!不能再等!” 刹那间,全院多科室抢救机制应声启动。
胸腔大出血抢救
输血科火速配足悬浮红细胞;麻醉科团队迎难而上,在患者休克状态下迅速完成深静脉置管与插管,稳住生命线;手术室早已全员就位,器械、药品全部备齐。
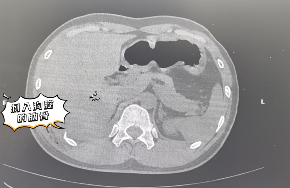
手术由金根标主任主刀,术中探查所见触目惊心:胸腔内积血超过2000ml,断裂的肋骨残端如同利刃,刺破了肋间血管及膈肌上动脉,造成汹涌的活动性出血,同时肺组织也存在撕裂伤。
金根标团队临危不乱,迅速清除凝血块,准确找到出血点,行破裂血管结扎术及肺修补术。鉴于患者肋骨骨折错位明显,为减少疼痛、恢复胸廓稳定性、利于后期康复,团队又为患者实施了肋骨骨折切开复位内固定术(ORIF)。整个手术过程紧张有序,精准高效。经过2小时的奋力抢救,患者出血终于被彻底控制,血压逐步回升,苍白的脸庞也逐渐恢复了血色。
术后第二天,王某就可以下床活动,回顾这段生死经历,他感慨万分。
金根标指出,肋骨骨折,特别是较大血管附近,较大脏器附近的骨折我们要警惕大出血的风险 ,此类创伤性胸腔大出血往往猝不及防、病死率高,成功救治依赖于快速响应、准确决策、多学科无缝协作与精湛技术,“这场生命接力,是我院创伤中心综合救治能力的体现。”
本次抢救再次彰显医院处理急危重症时强大的多学科协作能力与医疗技术水平,也深刻诠释了医护人员“敬佑生命、甘于奉献”的职业精神。


用户登录
还没有账号?
立即注册